Licówki – Dental Perfect Wrocław

Co to są licówki i jak wygląda procedura ich zakładania?
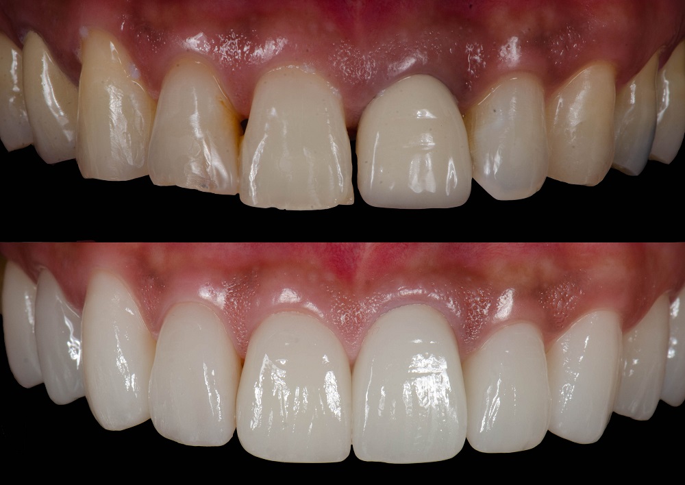
Licówki to cienkie nakładki mocowane na przedniej powierzchni zębów. Pozwalają zmienić ich kolor, proporcje, długość, a nawet ułożyć uśmiech w bardziej harmonijny sposób. Ich powierzchnia jest trwała, odporna na przebarwienia i daje bardzo naturalny efekt, który utrzymuje się przez wiele lat.
W Dental Perfect wykonujemy różne rodzaje licówek, w tym licówki porcelanowe i licówki kompozytowe. Dobór konkretnego rozwiązania zależy od Twoich oczekiwań oraz warunków w jamie ustnej. Już podczas pierwszej konsultacji otrzymasz jasną informację o tym, co będzie dla Ciebie najlepsze i dlaczego.
Proces zaczynamy od dokładnej diagnostyki. Oceniamy stan zębów i dziąseł, wykonujemy zdjęcia i skany wewnątrzustne, a następnie przygotowujemy wstępny projekt uśmiechu. To etap, który pozwala przewidzieć efekt i upewnić się, że idziemy w kierunku, którego oczekujesz.
Po akceptacji projektu przechodzimy do przygotowania zębów. Jeśli możliwe są licówki bez szlifowania, ingerencja jest minimalna, aby zachować jak największą masę zdrowego zęba. Następnie wykonywana jest przymiarka, a licówki zostają przygotowane w pracowni protetycznej. Ostatni etap to ich precyzyjne osadzenie i kontrola, która zapewnia pełen komfort gryzienia i naturalny wygląd.
Licówki bez szlifowania – kiedy są możliwe?
Coraz więcej osób szuka sposobu na piękny uśmiech bez ingerencji w szkliwo. W wielu przypadkach mogą być zastosowane licówki bez szlifowania. To metoda szczególnie korzystna, gdy zęby mają prawidłowy kształt, są ustawione w odpowiedniej pozycji, a korekta dotyczy głównie koloru lub niewielkich różnic estetycznych. Jeśli jednak celem jest znacząca zmiana kształtu zęba lub jego ustawienia, konieczne może być opracowanie powierzchni, zawsze wykonywane z zachowaniem jak największej ilości zdrowej tkanki.
Kiedy warto zdecydować się na licówki w Dental Perfect we Wrocławiu
Licówki to rozwiązanie, które sprawdza się zarówno w przypadku subtelnej poprawy uśmiechu, jak i widocznej metamorfozy. Sprawdzają się szczególnie wtedy, gdy:
- zęby są przebarwione i nie reagują na wybielanie,
- krawędzie są nierówne lub postrzępione,
- pojawiają się niewielkie szpary między zębami,
- zęby różnią się długością lub kształtem.
W takich sytuacjach licówki mogą przywrócić uśmiechowi elegancki, proporcjonalny wygląd.
Licówki dają również przewagę nad innymi metodami – efekt jest stabilny, kolor nie zmienia się wraz z upływem czasu, a powierzchnia zębów wygląda naturalnie nawet z bliska. To dlatego pacjenci, którzy raz zdecydowali się na licówki, często mówią w swoich opiniach, że była to jedna z najlepszych decyzji estetycznych.
Licówki we Wrocławiu – cena
Cena licówek zależy od liczby zębów objętych leczeniem, rodzaju materiału oraz poziomu skomplikowania zmian estetycznych. Dokładną wycenę przedstawiamy podczas konsultacji po analizie Twojego uśmiechu. Aktualny cennik znajduje się na naszej stronie – warto się z nim zapoznać przed wizytą, aby wiedzieć, czego można się spodziewać.

Licówki Wrocław – dlaczego warto wykonać je w Dental Perfect?
Pacjenci wybierają nas nie tylko ze względu na jakość wykonania, ale również indywidualne podejście. Pracujemy na nowoczesnym sprzęcie diagnostycznym, tworzymy projekty uśmiechu dopasowane do Twojej twarzy i dbamy o to, by efekt był elegancki i naturalny. Nasz gabinet znajduje się na Krzykach, w spokojnej części miasta, z dobrym dojazdem zarówno z centrum, jak i spoza Wrocławia.
Umów się na konsultację!
Jeśli chcesz sprawdzić, czy licówki będą odpowiednim rozwiązaniem dla Ciebie, zapraszamy na konsultację. Podczas wizyty omówimy wszystkie możliwości, pokażemy symulację efektu i zaproponujemy plan działania, który przyniesie najlepszy efekt estetyczny.
Cennik
Leczenie protetyczne
| Znieczulenie jest w cenie każdego zabiegu ! | |
| Korona porcelanowa na stopie bezniklowym | 1700 zł |
| Korona pełnoceramiczna cyrkonowa | 2200 zł |
| Bonding (Licówka kompozytowa) 1 ząb | 800 zł |
| Onlay/Inlay kompozytowy | 1150 zł |
| Proteza akrylowa (górna lub dolna) | 1800 |
| Proteza Akronowa elastyczna | 2400 zł |
| Proteza szkieletowa (góra lub dół) | 2800 zł |
| Proteza szkieletowa z zatrzaskami | 3900 zł |
| Licówka pełnoceramiczna system CEREC | 2200 zł |
| Onlay/Inlay pełnoceramiczny system CEREC | 1500 zł |
| Korona tymczasowa gabinetowa | 200 zł |
| Korona tymczasowa laboratoryjna | 500 zł |
| Wkład metalowy indywidualny | 600 zł |
| Odbudowa zęba z wkładem – włókno szklane | 450 zł |
| Odbudowa zęba z wkładem – 2 włókna szklane | 500 zł |
| Szyna prowizoryczna z uzupełnieniem brakujących zębów | od 650 zł |
| Podścielenie protezy akrylowej | 450 zł |
| Naprawa protezy | Od 450 zł |
| Cementowanie korony/wkładu (spoza gabinetu) | 150 zł |
| Usunięcie starej korony, cięcie mostu 1 ząb | 100 zł |
| Prace protetyczne robione w niestandardowym czasie | +30% ceny |
| Mikroproteza | 850 zł |
| Dostawienie zęba do protezy akrylowej | 450 zł |
| Dostawienie zęba do protezy akronowej | 650 zł |
